
The Foundation of a Healthy Smile
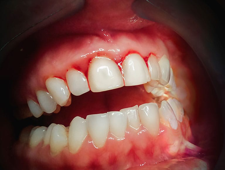
At Fuller Smiles Beverly Hills, we understand that strong, healthy gums are the cornerstone of overall oral health. Gum care isn’t just about preventing gum disease—it’s about maintaining the foundation for your teeth and ensuring a healthy, confident smile. Our comprehensive services for gum care in Beverly Hills are designed to keep your gums in optimal condition, supporting your long-term dental wellness.